Studie erforscht häufige Komplikation nach Brustkrebs-OP

Eine der häufigsten und schwerwiegendsten Komplikationen nach Brustkrebs-Operationen sind Serome, Flüssigkeitsansammlungen im Wundbereich. Eine Studie am Lehrstuhl für Frauenheilkunde und dem Brustzentrum des Universitätsklinikums Augsburg unter Leitung von Prof. Dr. Nina Ditsch möchte nun herausfinden, welche Patientinnen-Gruppen ein erhöhtes Risiko für die Entwicklung von Seromen haben. Die Erkenntnisse daraus könnten beitragen, postoperative Komplikationen vermeiden.

10.11.2023|

Vor- und Nachbesprechung der Geburt: Schatz und Notwendigkeit

Das Gesamtkonzept der Vor- und Nachbesprechung der Geburt wurde auf vielen Fortbildungsveranstaltungen und Kongressen vorgestellt und begrüßt. Auch in den neuen Leitlinien der Geburtshilfe werden kontextbezogen Nachbesprechungen gefordert.

30.10.2023|

Neue Meta-Analyse: Vaginales Progesteron erhöht Lebendgeburtenrate nach Kryokonservierung bei ART

Bei ungewollt kinderlosen Frauen spielt das Hormon Progesteron im Rahmen der assistierten Reproduktionstherapie (ART) eine wichtige Rolle. Denn in der Frühphase einer mithilfe einer ART entstandenen Schwangerschaft kann es zu einer Lutealphaseninsuffizienz kommen. [1] In diesen Fällen stellt die vaginale Gabe von Progesteron (z. B. als vaginale Weichkapseln mit mikronisiertem natürlichem Progesteron wie utrogest® Luteal) eine etablierte Therapie dar.

27.10.2023|

Und Haschisch schadet doch!

Es ist schon recht seltsam: Für Arzneimittel, die kranke Menschen heilen sollen, sind strenge Prüfungsrichtlinien vorgeschrieben, gleichzeitig soll aber eine Substanz, die nachweislich gesundheitsschädlich ist, im nächsten Frühjahr legalisiert und jedem Erwachsenen zugänglich gemacht werden. Nach vielen Studien besteht kein Zweifel mehr darüber, dass Marihuana und sein fünfmal stärkeres Pendant Haschisch in vielfältiger Weise gesundheitsschädlich sind, berichtet die Stiftung Kindergesundheit in ihrer aktuellen Stellungnahme. Kiffen ist und bleibt gefährlich.

26.10.2023|

Schuppenflechte und schwanger – Therapie prüfen und interdisziplinär behandeln

Schwangere Psoriasis-Patientinnen müssen während der Schwangerschaft engmaschig dermatologisch mitbetreut werden. Für die Behandlung einer leichten Schuppenflechte sind topische (äußerlich anzuwendende) Corticosteroide Teil der Basisversorgung. Bei mittelschwerer und schwerer Psoriasis haben sich Systemtherapeutika wie beispielsweise Biologika bewährt. Wird die Patientin schwanger, muss eine solche Therapie nicht per se abgebrochen, aber überprüft werden.

26.10.2023|

Mit Freundinnen ins Ausland zur Kosmetik – Operation

Es stellte sich vor eine 52-jährige Patientin, IIG, II P, beides auf Wunsch Sektionen, bei Zustand nach vaginaler Hysterektomie wegen eines Uterusmyoms mit Wachstumstendenz (Abb. 1). Die Patientin war seit Jahren geschieden und ohne Partner, weswegen sie ihrer Überzeugung nach nur selten zur Kontrolle zu kommen brauche. Nach etwas längerem zeitlichen Abstand stellte sie sich dennoch mit Beschwerden vor. Sie war mit Freundinnen im Ausland zur kosmetischen Operation gewesen, dabei waren die Brüste verkleinert und gestrafft worden.

25.10.2023|

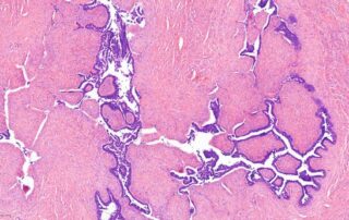
Pathologien der Mamma im juvenilen Alter

Läsionen in der juvenilen Mamma sind überwiegend benigne und gehen häufig mit der physiologischen Brustentwicklung einher. Die Sonographie stellt die diagnostische Methode der Wahl dar. Die Abgrenzung zwischen benignen und malignen Läsionen ist klinisch jedoch nicht immer möglich und Bedarf im Einzelfall, insbesondere bei rascher Größenprogredienz, Radiatio in der Vorgeschichte, bekannter BRCA-Mutation oder auffälliger Familienanamnese, einer histopathologischen Diagnosesicherung.

17.10.2023|

Symptomatische Endometriose-Behandlung – Positive CHMP-Stellungnahme für Ryeqo®

Der Ausschuss für Humanarzneimittel (CHMP) der Europäischen Arzneimittel-Agentur hat eine positive Stellungnahme für die Zulassungserweiterung von Ryeqo® (Relugolix 40 mg, Estradiol 1,0 mg und Norethisteronacetat 0,5 mg) zur symptomatischen Endometriose-Therapie bei medizinisch oder chirurgisch vorbehandelten Patientinnen im reproduktiven Alter abgegeben. Das haben Gedeon Richter Plc. und Sumitomo Pharma nun gemeinsam bekannt gegeben.

17.10.2023|

Die Verwandlung einer harmlosen Zyste zum großen Abszess

Eine 30-jährige Patientin, IIG, IIP, die seit mehreren Jahren Brustimplantate trug, stellte sich ein paar Wochen nach der Entbindung vor. Bei der Untersuchung der nicht laktierenden Mammae konnte man rechts unten innen einen kleinen nicht druckdolenten beweglichen Tumor tasten, der sonographisch nach einer 7 mm große Zyste (DD: Atherom) aussah. Da die Patientin keine Beschwerden hatte, wurde beschlossen, den Befund zu beobachten.

16.10.2023|

Bessere Heilungschancen durch individuelle Brustkrebstherapie

Am Uniklinikum werden bei an Brustkrebs erkrankten Frauen und Männern innovative, zielgerichtete Therapien angeboten und erforscht. Ein Expertenteam aus verschiedenen Fachbereichen wird in die individuellen Therapien einbezogen. Die Behandlung an einem zertifizierten onkologischen Spitzenzentrum erhöht die Überlebenschance der erkrankten Frauen und Männer.

13.10.2023|